
治療の症例
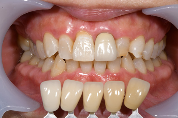
オフィスホワイトニング症例-50代女性
ホワイトニング
2026年03月10日(火)

| 患者様 | 50代女性 | ||
|---|---|---|---|
| 主訴 | 歯を白くしたい | ||
| 治療法 | オフィスホワイトニング3回コース | ||
| 通院回数 | カウンセリング(定期健診時)・クリーニング+3回 計4回 | ||
| 費用 |
|
||
| リスク・副作用 |
|
まずは
ご相談ください
AIチャット相談

| 患者様 | 50代女性 | ||
|---|---|---|---|
| 主訴 | 歯を白くしたい | ||
| 治療法 | オフィスホワイトニング3回コース | ||
| 通院回数 | カウンセリング(定期健診時)・クリーニング+3回 計4回 | ||
| 費用 |
|
||
| リスク・副作用 |
|