まずは
ご相談ください
AI
チャット
相談
登戸駅2分、総合歯科医療で一生続く健康な笑顔をサポート
登戸クローバー歯科・矯正歯科
ホーム
医院紹介
設備紹介
初診案内
診療案内
作成して欲しいスタイル
入れ歯・義歯治療
予防・検診
噛み合わせ治療
根管治療
口臭治療
審美治療
ホワイトニング
小児歯科
一般歯科
歯周病治療
訪問歯科
根管治療
噛み合わせ治療
予防・検診
入れ歯・義歯治療
スタッフ紹介
アクセス
24時間Web予約
044-933-8239
24時間Web予約
044-933-8239
CASE
治療の症例
ホーム
治療の症例
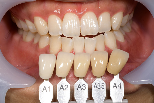
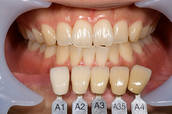
オフィスホワイトニング症例-20代男性
オフィスホワイトニング症例-20代男性
ホワイトニング
2026年03月10日(火)
患者様
20代男性
主訴
歯を白くしたい
治療法
オフィスホワイトニング2回コース
通院回数
2回(カウンセリングは定期健診時に別途実施)
費用
治療費用
42,000円(税込)
リスク・副作用
施術中(歯科衛生士がついています)施術後しみる痛みがある場合もあります。ご心配な方はカウンセリングでご相談ください。
ご自身の歯を白くします。神経のない歯、被せ物が入っている部位は白くなりません。
Prev
一覧へ戻る
Next
関連記事
2026.03.10
ホワイトニング
オフィスホワイトニング症例-30代女性
2026.03.10
ホワイトニング
オフィスホワイトニング症例-30代女性
2026.03.10
ホワイトニング
オフィスホワイトニング症例-10代女性
カテゴリから探す
すべて
インプラント
ホワイトニング
一般治療
口腔外科
審美・補綴症例
矯正歯科
自由診療
アーカイブから探す
投稿年を選択
2026年
2025年
TOP