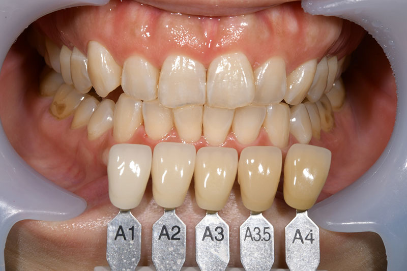
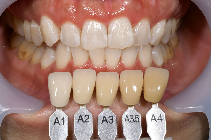
オフィスホワイトニング症例
ホワイトニング
2026年02月10日(火)

| 患者様 | 40代女性 | ||
|---|---|---|---|
| 主訴 | 歯を白くしたい | ||
| 治療法 | スタンダード2回コース | ||
| 通院回数 | 2回 | ||
| 費用 |
|
||
| リスク・副作用 |
|
まずは
ご相談ください
AIチャット相談

TEL 044-933-8239
〒214-0013
神奈川県川崎市多摩区登戸新町408-1
レオドール登戸2F
| 診療時間 | 月 | 火 | 水 | 木 | 金 | 土 | 日 | 祝 |
|---|---|---|---|---|---|---|---|---|
| 10:00 - 13:00 | ● | ● | ● | ● | ● | ● | ● | / |
| 14:30 - 19:00 | ● | ● | ● | ● | ● | ● | ● | / |



